
नई दिल्ली। सीनियर न्यूरोलॉजिस्ट और अमरीकी खुफिया एजेंसी सीआईए के पूर्व अफसर ने दावा किया है कि एलियंस के सामने मानव कुछ नहीं है। एलियंस की ताकत और तकनीक इंसानों से कई गुना ज्यादा है। सिर्फ एलियंस के विमानों यानी यूएफओ की बात करें तो अंदाजा लगाया जा सकता है कि वह हमसे कहीं आगे हैं। मगर ये यूएफओ इतने खतरनाक होंगे कि आप अंदाजा नहीं लगा सकते।
इस अमरीकी विशेषज्ञ का दावा है कि एलियंस के यूएफअो से इंसानों में दिमाग से जुड़ी गंभीर बीमारी, जिसमें पैरालिसिस और दूसरी शारिरिक चोट शामिल है, हो सकती है। मीडिया रिपोर्ट में दावा किया गया है कि एलियंस धरती पर लगातार आते रहे हैं और यूएफओ के जरिए इंसानों में गंभीर बीमारी पैदा करते रहे हैं।
स्टडी के लिए एक मिशन जारी किया गया
वहीं, पेंटागन से जारी रिपोर्ट में दावा किया गया है कि डॉक्टर क्रिस्टोफर ग्रीन को एलियंस की गतिविधियों और यूएफओ की मॉनिटरिंग करने को कहा गया था। यह एक मिशन था, जिसके लिए करीब सवा दो सौ करोड़ डॉलर का बजट जारी हुआ था। इसमें यूएफओ के धरती पर आने और इससे मनुष्यों पर हो रहे असर की स्टडी करनी थी। बताया जा रहा है कि क्रिस्टोफर 1960 के आसपास अमरीकी खुफिया एजेंसी सीआईए से जुड़े थे। तब उन्होंने कई अमरीकी सैनिकोंं और सैन्य अधिकारियों का इलाज किया, जो किसी वजह से एलियंस के यूएफओ के संपर्क में आ गए थे। इससे वे गंभीर रूप से घायल हुए थे, जबकि कुछ में शारिरिक और मानसिक बीमारी के लक्षण भी मिले थे। यही नहीं, कुछ सैनिकों को तो इतनी गंभीर बीमारी हो गई थी कि बाद में उनकी मौत हो गई।
घायल सैनिकों की मौत भी हो गई
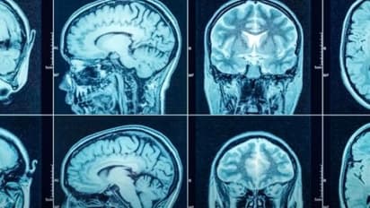
क्रिस्टोफर के अनुसार, अमरीकी सैनिक यूएफओ की चपेट में आने से इतनी बुरी तरह घायल हुए थे कि उनकी मौत हो गई। वहीं, यह चोट इतनी रहस्यमयी थी कि उसका सही-सही पता नहीं लग सका, मगर यह कुछ-कुछ हवाना सिंड्रोम की तरह थीे। इस बीमारी को लेकर खुफिया एजेंसियों का अनुमान है कि यह खासकर अमरीकी राजनयिकों और सैनिकों को माइक्रोवेव का इस्तेमाल कर गुप्त हमले किए गए होंगे। उन्होंने बताया कि यूएफओ के संपर्क आए सैनिकों का इलाज करने पर पता चला कि उन्हें मल्टीपल स्केलेरोसिस, ब्रेन डैमज (मस्तिष्क का क्षतिग्रस्त होना) और बर्न्स जैसे लक्षण हैं। कुछ को पैरालिसिस अटैक भी आया था। ये सभी यूएफओ की चपेट में आए थे।
शादीशुदा महिलाओं ने पुलिस से की शिकायत, कहा- यह हमें एक खास ऑफर देता है
शख्स ने जिस पालतू कुत्ते को घर की हिफाजत के लिए रखा, वही बेटी को नोच-नोचकर खा गया
नहाते समय महिला के कान में घुसा केकड़ा, वीडियो में देखिए आगे क्या हुआ
वायरल न्यूज(Viral News Updates): Read latest trending news in India and across the world. Get updated with Viral news in Hindi at Asianet Hindi News