जिस व्यक्ति के दांतों में होता है गैप...वो होता है भाग्यशाली, जानें क्या कहते हैं आपके दांत

जिस व्यक्ति के दांतों में होता है गैप...वो होता है भाग्यशाली, जानें क्या कहते हैं आपके दांत

Published : Apr 28, 2020, 09:24 PM IST

दांत हमारे शरीर के प्रमुख अंगों में से एक है। जिसके दांत सुंदर व आकर्षक होते हैं, उसकी एक मुस्कान किसी को भी सम्मोहित करने के लिए काफी होती है। 

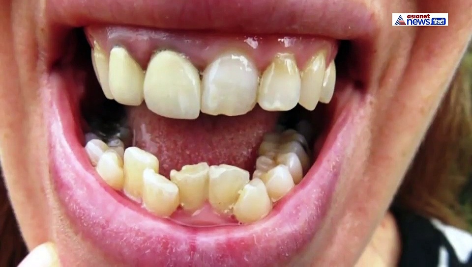
वीडियो डेस्क। दांत हमारे शरीर के प्रमुख अंगों में से एक है। जिसके दांत सुंदर और आकर्षक होते हैं, उसकी एक मुस्कान किसी को भी सम्मोहित करने के लिए काफी होती है। समुद्र शास्त्र के अंतर्गत दांतों पर भी गहन शोध किया गया है। समुद्र शास्त्र के अनुसार, दांत देखकर भी किसी व्यक्ति के स्वभाव और चरित्र के बारे में आसानी से अनुमान लगाया जा सकता है। जानिए किस प्रकार के दांतों वाले इंसान का स्वभाव कैसा होता है-
1. जिस व्यक्ति के दांत सीधे और सपाट रेखा में होते हैं, वह धनवान होता है। अपने जीवन में बहुत नाम कमाता है। ऐसे लोग किसी की नौकरी नहीं करते बल्कि मालिक बनकर दूसरों पर हुक्म चलाना इन्हें अच्छा लगता है।
2. जिन महिलाओं के दांत थोड़े ऊंचे यानी बाहर की ओर निकले हुए होते हैं, वह बहुत बोलती हैं और अपनी बात मनवाने में माहिर होती हैं। ये कभी हंसमुख तो कभी बहुत गुस्सैल स्वभाव की हो जाती हैं।
3. काले व आड़े-टेड़े दांत वाले व्यक्ति सबसे पहले अपने बारे में सोचते हैं। अपना हित साधने के लिए ये किसी से भी दोस्ती कर लेते हैं और मतलब निकलते ही उसे छोड़ देते हैं।
4. सफेद व सुंदर दांत वाले व्यक्ति बहुत ही किस्मत वाले होते हैं और इनका नेचर भी अच्छा होता है। ये सभी से जल्दी घुल-मिल जाते हैं। ये इमोशनल किस्म के लोग होते हैं जो जल्दी ही किसी पर भी भरोसा कर लेते हैं। इस कारण इन्हें कभी-कभी धोखा भी खाना पड़ता है।
5. जिस व्यक्ति के दांतों के बीच थोड़ी दूरी होती है, वह दूसरों के पैसों पर ऐश करने वाले हो सकते हैं। ऐसे लोगों को पैतृक संपत्ति भी मिल जाती है और ये जीवन भर उसी पर निर्भर रहते हैं।
6. जिन लोगों के दांत हल्के काले होते हैं, वो बहुत चतुराई से अपना काम निकालने वाले होते हैं, साथ ही ऐसे लोग झगड़ालु स्वभाव के भी होते हैं।
7. जिन लोगों के दांत पीले या हल्के लाल रंग के होते हैं, वे खुशमिजाज स्वभाव के होते हैं। वे हर पल को जीने मे विश्वास करने वाले होते हैं। इन पर विश्वास किया जा सकता है। इन्हें लोगों से मिलना और हंसना-हंसाना अच्छा लगता है।
 

01:44Bhai Dooj 2025 : भाई दूज पर कब करें टीका, क्या है सबसे उत्तम मुहूर्त?
03:36Ahmedabad से लेकर Rajkot तक...Gujarat में सांस्कृतिक कार्यक्रम की धूम
04:27Navratri 2025 : बेहद खास है शारदीय नवरात्रि, नारियल पर जरूर करें ये खास उपाय
03:32Solar Eclipse: साल का आखिरी Surya Grahan 2025 आज, भारत में कितना होगा प्रभाव?
03:39Chandra Grahan 2025 : आज साल 2025 का अंतिम चंद्र ग्रहण, जानें समय, सूतक काल| Lunar Eclipse Sutak
03:50Pitru Paksha 2025: 7 या 8 सितंबर कब से हैं श्राद्ध पक्ष? नोट करें 5 सबसे महत्वपूर्ण तिथियां
01:38Ganesh Chaturthi 2025 Muhrat: कब मनाई जाएगी गणेश चतुर्थी? स्थापना के 5 शुभ मुहूर्त
02:03Krishna Janmashtami Stotra 2025: 4 चमत्कारी स्त्रोत, जन्माष्टमी पर जरूर करें इनका पाठ
01:35जन्माष्टमी पर क्या है पूजन का मुहूर्त? । Janmashtami 2025 Muhrat
01:49Janmashtami 2025: क्या है वो खास चीज जिसके बाद कान्हा को 56 भोग भी नहीं है स्वीकार । Pt Nalin Sharma