बेंगलुरू के डॉक्टर्स ने एक असामान्य सर्जरी को अंजाम दिया है। दरअसल, एक महिला के सिर में कांच की गांठ बचपन से ही धीरे-धीरे बढ़ रही थी, जिसे डॉक्टर्स की टीम ने सफलतापूर्वक हटा दिया है।
Unusual Surgery Bengaluru. डॉक्टर्स को भगवान क्यों कहा जाता है, इसका एक जीता जागता उदाहरण बेंगलुरू में देखने को मिला है। जहां, चिकित्सकों ने एक तरह से असामान्य सर्जरी करके महिला के सिर से कांच की गांठ को सफलतापूर्वक निकाल दिया है। महिला के सिर में कांच की यह गांठ बचपन से ही बढ़ती जा रही थी, जिसे डॉक्टर्स की टीम से सावधानी से हटा दिया और महिला को नया जीवन दिया है।

श्रीसत्य साईं इंस्टीट्यूट ऑफ हायर मेडिकल साइंसेज में अनोखा ऑपरेशन
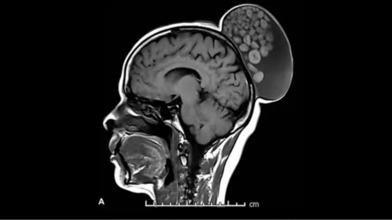
बेंगलुरु में डॉक्टरों ने हाल ही में एक महिला का अनोखा ऑपरेशन किया है। जिसके सिर पर कंचे की बोरी जैसी उभरी हुई गांठ थी। श्रीसत्य साईं इंस्टीट्यूट ऑफ हायर मेडिकल साइंसेज ने रेडियोलॉजी पत्रिका में इस असामान्य ऑपरेशन के बारे में विस्तार से जानकारी दी है। 52 वर्षीय महिला बचपन से ही सिर पर सूजन के साथ जी रही थी लेकिन अब तक उसने कभी इसकी जांच भी नहीं कराई थी। इस सूजन में दर्द नहीं होता था और यह करीब 6 इंच लंबी, 4 इंच चौड़ी थी।
एमआरआई स्कैन से मिली डॉक्टरों की इसकी जानकारी
डॉक्टर्स ने जब इसकी जांच की तो एमआरआई स्कैन से पता चला कि यह गांठ उसके सिर के पीछे मांसल भाग में बालों के जूड़े जैसा बन गया था। इसको हटाने के लिए की गई सर्जरी के दौरान डॉक्टरों ने पाया कि यह तरल पदार्थ, बाल, वसायुक्त अणुओं और मोटे बाहरी किनारों के साथ केराटिन की बॉल्स से भरा हुआ था, जो अलग-अलग आकार के थे। जानकारी के लिए बता दें कि केराटिन एक तरह का प्रोटीन होता है जो बालों, नाखूनों और स्किन की बाहरी पर्त का आधार बनता है। महिला में मिले इस चीज को डर्मोइट सिस्ट कहते हैं। यह भ्रूण कोशिकाओं से ही बनते हैं और यह बाल, दांत या तंत्रिकाएं बना सकते हैं। ये अक्सर सिर और गर्दन में दिखते हैं। यह अंडाशय और शरीर के ऊपरी हिस्से में भी पाया जाता है।
महिला ने क्यों नहीं कराई जांच
डॉक्टर्स ने कहा कि सूजन के बावजूद महिला को किसी तरह का दर्द नहीं होता था। इसी वजह से उसने कभी जांच नहीं कराई। अब इस सफल ऑपरेशन के बाद डॉक्टर्स की टीम महिला की लगातार निगरानी कर रही है।
यह भी पढ़ें
मानहानि मामले में सुनवाई से पहले राहुल गांधी ने सुप्रीम कोर्ट में दाखिल किया जवाब, जानें क्या कहा?