15 साल के लड़के के पेनिस में यूएसबी केबल अटक गया। बेटे की बिगड़ती हालत देखकर मां उसे अस्पताल लेकर गई। डॉक्टर भी उसकी स्थिति को देखकर हैरान थे। उन्हें समझ नहीं आ रहा था कि केबल लड़के के प्राइवेट पार्ट में गया कैसे।
हेल्थ डेस्क. 15 साल के लड़के के दिमाग में ऐसी खुराफात सूझी जिसके वजह से वो सीधे अस्पताल पहुंच गया। डॉक्टर भी उसकी स्थिति को देखकर आश्चर्य में थे। उन्हें समझ नहीं आ रहा था कि कोई बच्चा इस तरह की हरकत कर कैसे कर सकता है। हालांकि ऑपरेशन के जरिए उसकी शारीरिक स्थिति को ठीक किया गया। इस घटना को यूरोलॉजी केस रिपोर्ट में विचित्र घटना के तहत रखा गया है। चलिए बताते हैं पूरा माजरा।

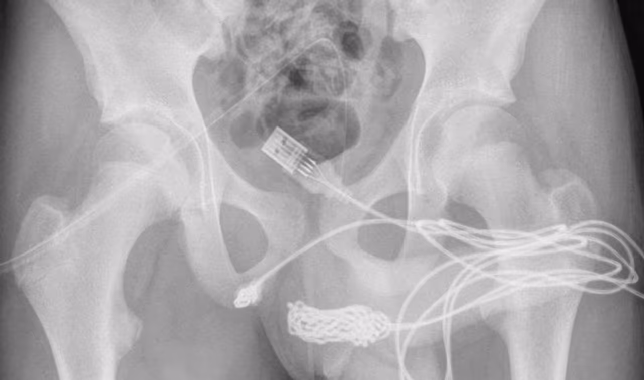
लिंग की लंबाई नापने के लिए केबल का किया प्रयोग
दरअसल, 15 साल का लड़का मोबाइल के यूएसबी केबल से यौन प्रयोग करने की कोशिश कर रहा था। वो अपने पेनिस के अंदर की लंबाई को मापने का प्रयास कर रहा था। मूत्र मार्ग से वो केबल को अंदर डालता गया, डालता गया और फिर अंदर वो गांठ बनती गई। जब वो उसे बाहर निकालने की कोशिश किया तो वो निकला ही नहीं। गांठ बनने की वजह से वो अंदर फंस गया था।
केबल में गांठें और उलझने के साथ, लड़के के पेशाब में खून आने लगा। जब लड़के की मां ने ये देखा तो उसे तुरंत अस्पताल लेकर आई। तब लड़के ने डॉक्टर के सामने कबूल किया कि वो पहले अपनी मां के कमरे से बाहर निकलने का इंतजार किया। इसके बाद उसने अपने अंदर केबल डाली थी। जिसके बाद डॉक्टर ने सर्जरी करके उसे बाहर निकाला। हालांकि डॉक्टर सर्जरी करने में काफी मशक्त करनी पड़ी थी।

फोटो क्रेडिट:Science Direct
लड़के को कोई मानसिक बीमारी नहीं थी
नवंबर 2021 में एक यूरोलॉजी केस रिपोर्ट में इसे विचित्र घटना का दस्तावेजीकरण किया गया था। साइंस डायरेक्टर रिपोर्ट में डॉक्टरों ने लिखा,'यूएसबी वायर के दो डिस्टल पोर्ट बाहरी यूरेथ्रल मीटस से निकले हुए पाए गए, जबकि नॉटेड वायर का मध्य भाग मूत्रमार्ग के भीतर बना रहा।' रिपोर्ट में आगे लिखा गया है कि रोगी फिट और स्वस्थ्य किशोर था, जिसका मानसिक स्वास्थ्य विकारों का कोई इतिहास नहीं था।
सर्जरी से यूएसबी केबल को निकाला गया बाहर
लिंग के अंदर गांठ बन जाने की वजह से डॉक्टर बिना सर्जरी के इसे निकाल नहीं पा रहे थे। काफी कोशिश के बाद जब वो नहीं निकला तो सर्जरी करनी पड़ी। सर्जरी के बाद लड़का ठीक हो गया और उसे अस्पताल से छुट्टी दे दी गई। हालांकि लंबे वक्त तक उसे डॉक्टर की निगरानी में रहना पड़ा।
और पढ़ें:
अल्ट्रा-प्रोसेस्ड फूड खाने के हैं शौकीन, तो हो जाएं सावधान, बाउल कैंसर समेत मौत की बन सकती है वजह
प्रेग्नेंसी के दौरान SEX करना कितना है सुरक्षित? यहां जाने 5 जरूरी सवाल का जवाब
