इस शख्स को अजीबो-गरीब बीमारी हुई। जब वह डॉक्टर के पास गया, तो वे भी सीटी की आवाज सुनकर हैरान रह गए। जांच में सामने आया कि शरीर के किस हिस्से से आवाज आ रही थी और ऐसा क्यों हो रहा था।
नई दिल्ली। आप यह जानकर चौंक जाएंगे कि यह बीमारी अब तक किसी को नहीं हुई थी। हाल ही में एक बंदे में यह हैरान करने वाली अजीबो-गरीब बीमारी सामने आई है। इस बीमारी के लक्षण देखकर डॉक्टर भी हैरान हैं। हालांकि, माना जा रहा है कि यह बीमारी डॉक्टरों लापरवाही की वजह से ही इस शख्स को हुई है।
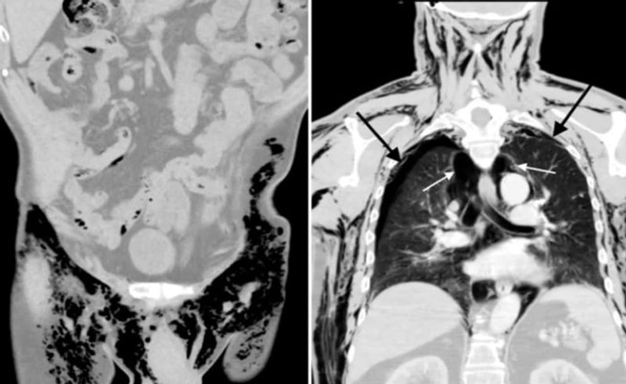
दरअसल, यह मामला अमरीका का है। यहां ओहियो में रहने वाले 72 साल के एक बंदे को लगा कि वह ठीक से सांस नहीं ले पा रहा है। उसका चेहरा सूज गया। शरीर के किसी हिस्से सीटी जैसी आवाज निकल रही थी, मगर यह आवाज कहां से आ रही है, इसका पता वह कई दिनों तक नहीं लगा पाया और जब पता चला तो जानकर दंग रह गया। उसकी हालत खराब होने लगी। वह यह नहीं समझ पा रहा था कि आखिर यह उसके शरीर में हुआ तो कैसे।

यह शख्स जब डॉक्टर के पास गया तो और अपनी परेशानी बताई तो डॉक्टरों ने पूरे शरीर की हर जरूरी जांच कर ली। रिपोर्ट में सामने आया कि सीटी जैसी जो आवाज निकल रही है, वह उसके अंडकोष यानी स्क्रोटम से आ रही है। ठीक से सांस नहीं ले पाने की वजह से उसके शरीर में निर्धारित मात्रा से अधिक हवा भर गई है। इससे उन्हें व्हिसलिंग स्क्रोटम हो गया है। डॉक्टरों के अनुसार, यह बंदा पहला ऐसा आदमी है, जिसे यह बीमारी हुई है। अमरीकी जर्नल ऑफ केस स्टडी में इस बारे में जानकारी दी गई है।
5 महीने पहले हुई थी सर्जरी, मगर डॉक्टरों की लापरवाही से वहां घाव हो गया
डॉक्टरों ने बताया कि इस शख्स को तुरंत इलाज की सलाह दी गई। अगर वे ऐसा नहीं कराते तो ह्रदय और फेफड़े हमेशा के लिए क्षतिग्रस्त हो सकते थे। इस स्थिति में उनकी मौत भी हो सकती थी। दरअसल, स्क्रोटम यानी अंडकोष के बायीं तरफ एक घाव था और आवाज इसी जगह से आ रही थी। पांच महीने पहले ही इस शख्स की वहां सर्जरी हुई थी और कुछ गड़बड़ी की वजह से वहां यह घाव हो गया था। हालांकि, एक अस्थायी व्यवस्था कर दी गई है, जिसके तहत शरीर में मौजूद हवा को निकालने के लिए सीने में प्लास्टिक के दो ट्यूब लगाए गए हैं। इससे फेफड़े के संक्रमण को काफी हद तक कम कर दिया गया है।
ये मॉडल नहीं ड्राइवर है, 3 करोड़ की ट्रक में सड़क पर निकलती है तब देखिए इसका ग्लैमरस अंदाज
टीचर ने नशे में लड़के से किया रोमांस, प्रेग्नेंट हुई तो पता चला वह उसका स्टूडेंट रह चुका था
इस शादी की जबरदस्त चर्चा, जानिए 18 साल की आलिया ने 61 साल के शमशाद से क्यों किया निकाह
